목차
1. 폐결절이란?
"폐결절(lung nodule)"은 폐 조직 내에서 직경 3cm 이하의 원형 또는 타원형 덩어리를 말합니다. 일반적으로 엑스레이나 CT 촬영에서 발견되며, 단독으로 존재하는 경우가 많지만 여러 개 나타날 수도 있습니다.
폐결절은 악성(폐암)과 양성(감염, 염증, 육종 등) 여부가 중요하며, 발견 시 크기, 모양, 경계, 성장 속도 등을 종합적으로 평가합니다.
3cm 이상인 경우 "폐종양(lung mass)"으로 분류하며, 악성 가능성이 상대적으로 높습니다.



2. 폐결절 종류
폐결절은 발생 원인과 조직학적 특징에 따라 구분됩니다.
- 양성 결절
- 과거 감염 흔적(결핵, 진균 감염)
- 육아종, 섬유종, 지방종
- 특징: 성장 속도 느림, 경계가 명확, 칼슘 침착 흔함
- 악성 결절
- 원발성 폐암: 선암, 편평세포암, 소세포암 등
- 전이성 폐암: 다른 장기 암에서 폐로 전이
- 특징: 경계 불규칙, 빠른 성장, 주변 조직 침범
- 특수 형태 결절
- 공기 방울 포함 결절
- 공동 형성 결절
- 간질성 폐질환과 연관된 결절
3. 폐결절 원인
폐결절은 다양한 원인에 의해 발생하며, 크게 감염, 염증, 종양으로 나눌 수 있습니다.
- 감염성 원인
- 결핵, 진균 감염, 세균 감염
- 면역력이 약한 환자에서 더 흔함
- 염증성 원인
- 육아종성 폐질환(사르코이드증 등)
- 만성 염증으로 인해 섬유화된 결절 형성
- 종양성 원인
- 원발성 폐암
- 전이성 암(간, 유방, 대장암 등)
- 기타 요인
- 외상이나 폐 출혈 후 조직 반흔
- 선천성 기형, 혈관 이상
폐결절이 발견되면 단순히 크기와 모양만으로 원인을 판단하기 어렵기 때문에 정밀 검사가 필요합니다.


4. 폐결절 증상과 특징
대부분 폐결절은 무증상이며, 건강검진이나 다른 질환 검사 중 우연히 발견됩니다.
증상이 나타나는 경우는 결절이 크거나 폐 기능에 영향을 미칠 때입니다.
- 호흡기 증상: 기침, 객혈, 호흡곤란
- 전신 증상: 체중 감소, 피로, 발열(염증성 결절에서 흔함)
- 영상 특징: 크기, 경계, 석회화 여부, 성장 속도
특히 악성 결절은 6개월 이상 관찰 시 크기 증가가 나타나며, 조기 발견과 치료가 예후에 중요합니다.
5. 폐결절 진단 방법
폐결절 진단은 주로 영상검사와 조직검사를 통해 이루어집니다.
- 영상 검사
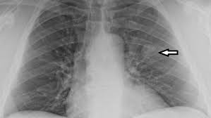
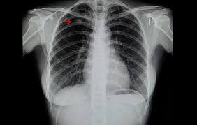
- 흉부 X-ray: 초기 발견 용이, 해상도 낮음
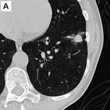
- CT(컴퓨터단층촬영): 크기, 모양, 경계, 칼슘 침착 확인
- PET-CT: 악성 여부, 전이 평가
- 조직검사
- 경피적 폐 생검: CT 유도 바늘로 조직 채취
- 기관지 내시경: 중심부 결절 접근 가능
- 수술적 절제: 진단 및 치료 목적
- 추적 관찰
- 작은 결절(<8mm) 또는 악성 가능성이 낮은 경우
- 일정 기간 간격으로 CT 촬영하며 성장 속도 관찰



6. 폐결절 치료와 관리
폐결절 치료는 원인과 악성 여부에 따라 달라집니다.
- 양성 결절
- 특별한 치료 없이 추적 관찰
- 감염성 결절: 항생제나 항진균제 치료
- 악성 결절
- 수술적 절제: 조기 폐암 치료
- 방사선 치료: 수술 불가 환자
- 항암치료: 전이성 폐암, 고위험 환자
- 생활 관리
- 금연 및 간접흡연 회피
- 정기적인 영상검사로 재발 또는 성장 모니터링
7. 폐결절 예후와 추적 관찰
폐결절의 예후는 크기, 성장 속도, 악성 여부에 따라 다릅니다.
- 작고 경계가 명확한 결절: 대부분 양성이며, 장기 추적 관찰 필요
- 성장 속도가 빠른 결절: 악성 가능성이 높아 조기 진단과 치료 중요
- 재발 위험: 악성 결절은 치료 후 2년 이내 재발 가능성이 높음
추적 관찰은 6~12개월 간격으로 CT 검사가 일반적이며, 필요 시 PET-CT와 조직검사를 병행합니다.
댓글