목차
1. 전립선암이란?
(1) 전립선의 정의와 기능
① 전립선은 남성의 생식기관 중 하나로, 방광 아래에 위치하며 정액의 일부를 생성하는 역할을 합니다.
② 정상적인 전립선은 호르몬인 테스토스테론에 의해 기능이 조절됩니다.



(2) 전립선암의 개념
① 전립선암은 전립선 세포가 비정상적으로 증식하여 악성 종양을 형성하는 질환입니다.
② 대부분 선암(adenocarcinoma)의 형태로 발생하며, 남성 암 중에서 발병률이 높은 편입니다.
③ 고령자에게 주로 나타나며, 조기 발견 시 완치율이 높은 암에 속합니다.
2. 전립선암 원인
(1) 고령
① 전립선암은 나이가 들수록 발생률이 높아집니다.
② 60대 이후 급격히 증가하며, 평균 진단 연령은 약 65세입니다.
(2) 유전적 요인
① 직계 가족 중 전립선암 진단 이력이 있다면 발병 위험이 2~3배 증가합니다.
② BRCA1 또는 BRCA2 유전자 돌연변이와도 관련이 있습니다.



(3) 호르몬
① 안드로겐(남성호르몬)은 전립선 세포 성장에 관여하며, 과도한 호르몬 자극은 암 발생과 관련이 있습니다.
(4) 식습관
① 고지방, 고단백, 붉은 고기 위주의 식단은 전립선암 위험을 높이는 요인입니다.
② 채소와 과일 섭취가 부족하면 항산화 작용이 감소하여 발병률이 증가할 수 있습니다.
3. 전립선암 증상
(1) 초기에는 무증상
① 대부분의 전립선암은 초기에는 자각 증상이 없습니다.
② 정기검진을 통해 우연히 발견되는 경우가 많습니다.


(2) 배뇨 관련 증상
① 소변이 자주 마렵고, 줄기가 약하며, 잔뇨감이 느껴집니다.
② 소변을 보는데 시간이 걸리거나, 밤에 자주 화장실에 가는 경우도 있습니다.
(3) 진행 시 증상
① 암이 진행되면 혈뇨, 사정 시 통증, 골반통, 하복부 불쾌감 등이 발생할 수 있습니다.
② 뼈로 전이된 경우에는 허리나 고관절 통증이 나타나기도 합니다.
4. 전립선암 진단 방법
(1) 직장수지검사(DRE)
① 의료진이 장갑을 낀 손가락으로 항문을 통해 전립선을 만져보며 이상 여부를 확인합니다.
(2) PSA 혈액검사
① PSA(Prostate Specific Antigen) 수치를 측정해 전립선 이상 여부를 판단합니다.
② 일반적으로 4ng/mL 이상이면 추가 검사가 필요합니다.
췌장암 초기증상, 검사방법 및 치료방법
목차췌장암이란?췌장의 역할과 췌장암의 종류췌장암 원인과 위험 요인췌장암 초기증상췌장암 검사방법 및 진단방법췌장암 병기와 예후췌장암 치료 방법췌장암 예방을 위한 생활 수칙1. 췌장암
garage.nicoladavid.com
(3) 전립선 조직검사
① 초음파 유도하에 바늘로 조직을 채취하여 암세포 유무를 확인합니다.
② 양성, 비정형, 악성 등으로 구분되어 진단됩니다.
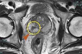
(4) 영상 검사
① MRI, CT, 뼈 스캔 등으로 병기와 전이 여부를 평가합니다.
② 특히 다발성 골 전이가 의심되는 경우 뼈 스캔이 중요합니다.
5. 전립선암 치료 방법
(1) 감시적 대기(적극적 감시)
① 저위험 전립선암은 적극적 치료 대신 정기적인 검사와 관찰만 하는 방식입니다.
② 고령이거나 다른 질환이 있는 환자에게 적합합니다.
(2) 수술적 절제
① 전립선 전체를 절제하는 근치적 전립선 절제술이 대표적입니다.
② 개복 수술, 복강경, 로봇수술 방식이 있으며, 연령과 병기에 따라 결정됩니다.



(3) 방사선 치료
① 외부 방사선 또는 근접방사선(브라키세라피) 방식이 있습니다.
② 수술이 어려운 환자나 수술 후 보조 치료로 활용됩니다.
(4) 호르몬 치료
① 안드로겐 억제제를 투여하여 암세포의 성장을 막습니다.
② 전이성 전립선암 또는 재발 시 효과적입니다.
(5) 항암화학요법
① 진행성 또는 호르몬 저항성 전립선암 환자에게 시행됩니다.
② 독세탁셀(docetaxel) 등의 약제를 사용합니다.
6. 전립선암 병기별 생존율과 예후
(1) 병기별 예후
① 국한성 전립선암의 5년 생존율은 98% 이상으로 매우 높습니다.
② 림프절 또는 원격 전이가 있는 경우 예후가 나빠지며, 생존율은 30~50% 수준입니다.
(2) 예후를 결정하는 요인
① 암의 병기와 PSA 수치
② Gleason score (암세포의 분화 정도를 나타냄)
③ 환자의 연령, 전신 상태, 치료 반응
수술후 기력회복에 좋은 음식, 피해야할 음식과 주의사항까지
목차수술 후 회복기의 중요성단백질이 풍부한 음식비타민과 미네랄이 풍부한 음식항산화 식품의 역할소화에 부담 없는 음식수분 섭취의 중요성과 관련 식품피해야 할 음식과 주의사항1. 수술
garage.nicoladavid.com
(3) 정기 추적 관리
① PSA 수치 모니터링은 재발 여부를 판단하는 중요한 지표입니다.
② 수술이나 방사선 치료 후에도 지속적인 관리가 필요합니다.
7. 전립선암의 예방과 생활관리
(1) 식습관 개선
① 동물성 지방을 줄이고, 채소와 과일을 충분히 섭취하는 것이 좋습니다.
② 토마토의 라이코펜, 녹차의 카테킨, 생선의 오메가-3 지방산 등이 예방에 도움이 됩니다.
(2) 정기검진
① 50세 이상 남성은 매년 PSA 검사와 직장수지검사를 받는 것이 권장됩니다.
② 가족력이 있는 경우 45세부터 검진을 시작하는 것이 좋습니다.
(3) 금연과 절주
① 흡연은 전립선암의 직접적 원인은 아니지만, 전반적인 면역력과 회복력 저하에 영향을 미칩니다.
② 과도한 음주는 호르몬 불균형을 유발할 수 있습니다.
(4) 규칙적인 운동
① 적절한 운동은 체중을 관리하고 전반적인 건강 상태를 개선하여 암 예방에 도움이 됩니다.
② 특히 유산소 운동과 근력 운동을 병행하는 것이 효과적입니다.
댓글