목차
1. 알츠하이머 초기 증상



(1) 기억력 저하
① 가장 대표적인 초기 증상으로, 최근에 있었던 일이나 약속을 잊어버리는 경우가 빈번해집니다.
② 일상생활에 지장이 있을 정도로 잦은 기억력 저하가 나타날 수 있습니다.
(2) 시간·장소 인식 장애
날짜나 계절, 현재 위치에 대한 인식이 흐려지고, 익숙한 길을 잃어버리는 경우가 발생합니다.



(3) 판단력 저하 및 계획능력 감소
숫자 계산이나 계획 수립이 어려워지며, 복잡한 작업 수행이 힘들어집니다.
(4) 일상 업무 수행 능력 감소
요리, 청소, 재정 관리 등 평소 익숙했던 일상적인 활동을 제대로 수행하지 못하게 됩니다.
(5) 언어 능력 변화
대화 중 단어를 찾지 못하거나 반복적으로 같은 이야기를 하는 경우가 나타납니다.
치매 초기증상 8가지와 치매 예방에 좋은 음식
목차1. 치매란 무엇인가?2. 치매 초기 증상 8가지3. 치매 예방에 좋은 음식4. 치매 예방을 위한 식습관 팁5. 마무리1. 치매란 무엇인가?치매는 단순한 노화로 인한 기억력 감퇴가 아닙니다. 뇌의 기
garage.nicoladavid.com
(6) 성격 및 행동 변화
불안, 우울, 무관심, 성격 급변 등 정서적 변화가 동반될 수 있으며, 사교 활동을 기피하는 경향도 보입니다.
(7) 시공간 감각 저하
물체의 거리를 인지하는 능력이 떨어져 운전이나 계단 이용이 위험해질 수 있습니다.
2. 알츠하이머와 치매 차이
(1) 치매란 무엇인가?
① 치매는 특정 질병명이 아니라, 다양한 질환에 의해 발생할 수 있는 "증후군"입니다.
② 기억력, 사고력, 판단력 등 인지 기능이 전반적으로 저하되어 일상생활에 지장을 초래하는 상태를 의미합니다.



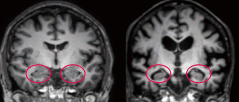
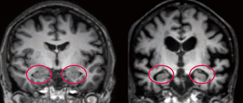
(2) 알츠하이머병이란?
① 알츠하이머병은 치매를 일으키는 여러 질환 중 하나입니다.
② 전체 치매 환자의 약 60~80%가 알츠하이머병에 해당합니다.
(3) 알츠하이머와 치매의 관계
① 치매는 "증상군"이고, 알츠하이머병은 "치매를 일으키는 대표적인 원인 질환"입니다.
② 즉, 모든 알츠하이머 환자는 치매를 겪지만, 모든 치매 환자가 알츠하이머병에 걸린 것은 아닙니다.
(4) 기타 치매의 원인
혈관성 치매, 루이소체 치매, 전두측두엽 치매, 파킨슨병 치매 등 다양한 원인 질환이 있습니다.
뇌출혈 전조증상 및 예방법
환절기에 특히 조심해야할 질환중 하나는 뇌출혈이라 할 수 있습니다. 특히 적절한 치료시기를 놓치는 경우 생명까지 위협할 수 있는 아주 무서운 질환입니다. 평소 뇌출혈 예방법에 따라 생활
garage.nicoladavid.com
3. 알츠하이머와 파킨슨병 차이
(1) 파킨슨병이란?
① 파킨슨병은 중추신경계에 영향을 미치는 퇴행성 신경 질환으로, 주로 운동 기능 저하가 특징입니다.
② 도파민 신경세포의 소실로 인해 떨림, 경직, 운동 느려짐 등이 발생합니다.
(2) 알츠하이머병과의 주요 차이점
① 초기 증상 차이
- 알츠하이머는 기억력 저하와 인지 기능 저하가 주요 증상입니다.
- 파킨슨병은 떨림, 느린 움직임, 근육 경직 등 운동 장애가 먼저 나타납니다.



② 진행 경과 차이
- 알츠하이머는 점차 인지 기능이 심각하게 악화되면서 일상생활이 불가능해집니다.
- 파킨슨병은 운동 장애가 중심이며, 일부 환자에서 치매 증상이 동반되기도 합니다.
③ 원인 및 병리학적 차이
- 알츠하이머는 아밀로이드 베타 단백질과 타우 단백질의 이상 축적이 주요 원인입니다.
- 파킨슨병은 흑색질 도파민 세포의 소실과 루이소체의 축적이 주요 원인입니다.



(3) 치료 접근법
① 알츠하이머는 인지 기능 유지와 증상 완화에 중점을 둡니다.
② 파킨슨병은 도파민 보충 요법 및 운동 기능 향상에 중점을 둡니다.
4. 알츠하이머 치료 방법
(1) 약물 치료
① 증상 완화제
- 콜린에스터레이스 억제제(도네페질, 리바스티그민, 갈란타민 등)는 신경전달물질 아세틸콜린의 분해를 억제해 인지 기능 저하를 늦추는 데 사용됩니다.
- NMDA 수용체 길항제(메만틴)는 중등도~중증 알츠하이머 환자에게 사용되어 신경 세포 보호 효과를 기대할 수 있습니다.



② 새로운 약물
- 최근 미국에서는 베타 아밀로이드 단백질을 제거하는 항체 치료제(예: 아두카누맙, 레카네맙)가 조건부 승인되어 사용되고 있습니다.
(2) 비약물 치료
① 인지 재활 훈련
- 기억력 훈련, 문제 해결 훈련, 현실 인식 훈련 등을 통해 인지 기능 저하 속도를 늦추고, 자존감을 유지할 수 있도록 돕습니다.



② 신체 활동 및 운동 요법
- 규칙적인 걷기, 스트레칭, 가벼운 근력 운동은 전반적인 건강 유지와 정신 건강에 긍정적인 영향을 미칩니다.
③ 음악 치료, 미술 치료
- 예술적 활동을 통해 정서적 안정감을 제공하고 사회적 상호작용을 촉진할 수 있습니다.
(3) 생활 관리 및 지원
① 안전한 생활 환경 조성
- 낙상 방지를 위해 집안을 정리하고, 문이나 계단에 안전장치를 설치합니다.



② 일상 구조화
- 일정한 시간에 식사, 운동, 휴식 등 일과를 규칙적으로 유지하면 환자의 혼란을 줄이는 데 도움이 됩니다.
③ 가족 및 보호자 교육
- 환자의 행동 변화를 이해하고 적절하게 대처하는 방법을 배우는 것이 중요합니다.
(4) 예방 및 위험 감소 전략
① 식이요법
- 지중해식 식단, 고도 불포화지방산, 항산화 식품 섭취가 알츠하이머 예방에 도움이 될 수 있다는 연구들이 있습니다.
② 정신 활동 유지
- 독서, 퍼즐 풀기, 악기 연주 등 뇌를 자극하는 활동이 인지 저하 예방에 도움이 될 수 있습니다.
③ 만성질환 관리
- 고혈압, 당뇨병, 고지혈증 등의 만성질환을 잘 관리하는 것이 알츠하이머 발생 위험을 낮출 수 있습니다.
댓글