본문 바로가기
카테고리 없음

수족구병 증상 및 예방조치

by (&^( 2025. 4. 16.
반응형

목차

  1. 수족구병이란?
  2. 수족구병의 주요 증상
  3. 수족구병의 원인과 전염 경로
  4. 수족구병의 잠복기와 경과
  5. 수족구병의 치료법
  6. 수족구병의 예방법
  7. 수족구병과 합병증 – 주의해야 할 신호
  8. 마무리하며

1. 수족구병이란?

반응형

수족구병(手足口病, Hand-Foot-Mouth Disease)은 주로 5세 이하 영유아와 어린이에게 흔히 발생하는 급성 바이러스성 질환으로, 손, 발, 입안에 수포성 발진이 나타나는 것이 특징입니다.

수족구병 증상 및 예방조치

이 질환은 여름철(6~8월)에 유행하며, 특히 어린이집이나 유치원 등 단체생활을 하는 환경에서 집단 감염이 흔히 발생합니다.
성인에게도 드물게 감염되지만, 증상이 가볍거나 무증상인 경우가 많습니다.

주된 원인 바이러스는 코사키바이러스 A16형, 엔테로바이러스 71형 등이며, 전염력이 매우 강하기 때문에 예방과 초기 대응이 무엇보다 중요합니다.

2. 수족구병의 주요 증상

반응형

수족구병은 초기에는 감기와 유사한 증상으로 시작되며, 이후 특징적인 수포성 발진이 나타납니다.

주요 증상

수족구병 증상 및 예방조치

  1. 발열
    • 초기 증상으로 38~39℃의 고열이 발생
    • 대부분 2~3일 지속되며, 해열제를 통해 조절 가능
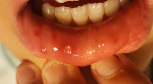
  2. 입안 수포와 궤양
    • 혓바닥, 볼 안쪽, 입천장에 물집 또는 궤양 발생
    • 통증이 심해져 식사와 수유 거부, 침 흘림 등이 나타남
  3. 손바닥, 발바닥, 엉덩이 수포성 발진
    • 붉은 반점에서 시작해 물집으로 발전
    • 가렵거나 따가운 증상은 보통 없음
  4. 전신 쇠약감, 식욕 저하, 구토
    • 몸살처럼 기운 없고 축 처지며 식사량이 급격히 줄어듦
  5. 드물게 기침, 콧물, 설사 등의 감기 유사 증상이 동반되기도 함

📌 중요 포인트: 증상은 바이러스 종류에 따라 개인차가 있으며, 엔테로바이러스 71형 감염 시 중증 합병증 위험이 있으므로 각별한 주의가 필요합니다.

3. 수족구병의 원인과 전염 경로

반응형

수족구병은 엔테로바이러스 계열에 의해 발생하며, 다음과 같은 경로로 감염됩니다.

전염 경로설명
비말 감염 기침, 재채기, 침 등을 통해 공기 중 바이러스 전파
접촉 감염 수포액, 분변, 오염된 손, 장난감, 물건을 통해 감염
분변 경로 감염자의 배변 후 손씻기 부족으로 전염
간접 접촉 수건, 장난감, 식기 등을 함께 사용하는 경우

전염력이 강하기 때문에 동일 공간에서 생활하는 가족, 유치원 친구들 사이에 빠르게 확산될 수 있습니다.

4. 수족구병의 잠복기와 경과

반응형
  • 잠복기: 평균 3~7일
  • 발병 기간: 증상은 보통 7일 이내 자연 회복
  • 전염 기간: 수포가 생긴 후 1주일 이상, 분변을 통한 바이러스 배출은 최대 4주까지 지속

📌 수포가 마르기 전까지는 전염력이 있으므로 등원·등교를 자제하는 것이 좋습니다.

수족구병 증상 및 예방조치

5. 수족구병의 치료법

반응형

현재까지 수족구병에는 특별한 치료제나 백신이 없습니다.
대부분 자연적으로 회복되며, 증상 완화를 위한 대증요법을 시행합니다.

1. 해열 및 통증 조절

  • 아세트아미노펜(타이레놀 등)을 사용해 발열과 통증을 완화

수족구병 증상 및 예방조치

2. 수분 보충

  • 입안 통증으로 수분 섭취가 줄어 탈수 위험 증가
  • 미지근한 물, 전해질 음료, 미음 등을 자주 소량씩 공급
반응형

3. 자극적인 음식 피하기

  • 짠 음식, 산성 음료, 뜨거운 국물은 입안 궤양 자극 유발
  • 미음, 두유, 바나나, 찐 감자, 부드러운 죽 등 권장

4. 휴식 및 격리

  • 충분한 휴식과 함께, 타인과의 접촉 최소화로 전파 방지

6. 수족구병의 예방법

반응형

예방이 가장 중요하며, 특히 손 위생과 생활 환경 관리가 핵심입니다.

✅ 손 씻기 철저히

  • 외출 후, 배변 후, 식사 전후 비누로 30초 이상 손 씻기
  • 손톱 정리, 손씻기 지도는 가정과 어린이집 모두 필수

출처 : 보건복지부

✅ 장난감·공용 물품 소독

  • 아이들이 공유하는 장난감, 매트, 문 손잡이 등은 정기 소독
반응형

✅ 감염 의심 시 즉시 격리

  • 발열이나 수포 증상 시 즉시 등원 중단 및 병원 진료

✅ 환기와 습도 조절

  • 밀폐된 공간은 바이러스 농도가 높아질 수 있으므로, 하루 2~3회 환기
  • 습도는 40~60% 유지가 이상적

수족구병 증상 및 예방조치

✅ 개인 수건, 식기 분리 사용

  • 형제 간에도 수건·컵·수저 공유 금지

7. 수족구병과 합병증 – 주의해야 할 신호

반응형

대부분 가볍게 지나가지만, 드물게 중추신경계 합병증이 발생할 수 있어 주의가 필요합니다.

주의해야 할 경고 신호

  • 고열(38.5도 이상)이 3일 이상 지속
  • 심한 구토, 멈추지 않는 울음
  • 경련 또는 의식 저하
  • 호흡 곤란, 빠른 맥박
  • 걷기 어려움, 팔·다리 마비감

수족구병 증상 및 예방조치

이러한 증상이 나타날 경우 즉시 병원 응급실로 방문해 진료를 받아야 합니다.
특히 엔테로바이러스 71형은 뇌수막염, 뇌염, 폐부종 등을 유발할 수 있습니다.

8. 마무리하며

반응형

수족구병은 소아에게 흔한 바이러스 질환이지만, 전염력이 매우 높고 합병증 위험도 존재하는 만큼 초기 증상 인지와 위생 관리가 무엇보다 중요합니다.

✅ 핵심 요약

  • 발열, 입안 수포, 손발 발진이 특징
  • 감염 후 7일 이내 자연 회복되나 전염성 높음
  • 백신·치료제 없음 → 위생과 격리로 예방
  • 고열, 경련, 구토 동반 시 즉시 병원 진료

아이들이 건강하게 여름을 보내기 위해서는 가정과 기관 모두의 협력과 관심이 필요합니다.
수족구병은 관리만 잘하면 대부분 문제없이 회복되는 질환입니다. 올바른 정보로 불안은 줄이고, 대비는 철저히 해보세요.

반응형

댓글