목차
1. 뇌종양이란?
뇌종양(brain tumor)은 뇌 안에서 발생하는 비정상적인 세포 덩어리를 말합니다. 이는 양성(비암성)일 수도 있고 악성(암성)일 수도 있습니다. 뇌종양은 다른 장기의 종양과 달리, 위치에 따라 신체 기능에 큰 영향을 미칠 수 있으며, 비교적 작은 크기라도 중대한 증상을 유발할 수 있습니다.
종양이 자라면서 뇌압이 상승하거나 주변 신경조직을 압박해 다양한 신경학적 증상이 발생하게 됩니다. 뇌종양은 원발성(뇌에서 직접 생긴 경우)과 전이성(다른 장기에서 암이 뇌로 전이된 경우)으로 나뉩니다.


2. 뇌종양 종류
뇌종양은 기원 세포에 따라 다양한 종류로 구분됩니다. 대표적인 유형은 다음과 같습니다.
① 교모세포종(Glioblastoma multiforme)
가장 흔한 악성 뇌종양 중 하나로 진행 속도가 빠르고 치료가 어렵습니다.
② 수막종(Meningioma)
뇌를 감싸는 막인 수막에서 발생하는 종양으로 대체로 양성이지만 크기가 커지면 수술이 필요합니다.


③ 신경초종(Schwannoma)
청신경에 생기는 경우가 많아 청력 저하나 이명 등을 유발합니다.
④ 뇌하수체선종(Pituitary adenoma)
호르몬 분비 이상과 관련되며, 시력 장애나 월경 이상 등의 증상이 동반됩니다.
⑤ 전이성 뇌종양
폐암, 유방암 등 다른 장기의 암이 뇌로 전이되어 발생합니다.
3. 뇌종양 원인
뇌종양의 명확한 원인은 아직 완전히 밝혀지지 않았지만, 여러 가지 위험 요인이 있습니다.
① 유전적 요인
일부 유전질환(예: 신경섬유종증, 리프라우메니 증후군)은 뇌종양 발생률을 높일 수 있습니다.
② 방사선 노출
과거 두부 방사선 치료 이력은 뇌종양 위험을 증가시킬 수 있습니다.


③ 환경적 요인
휴대폰 전자파나 화학물질과의 연관성은 연구 중이나 명확한 인과관계는 입증되지 않았습니다.
④ 면역 억제 상태
장기이식 후 면역억제제를 복용 중이거나 HIV/AIDS 환자는 일부 뇌종양 발생 위험이 높아질 수 있습니다.
4. 뇌종양 증상
증상은 종양의 위치, 크기, 성장 속도에 따라 다양합니다.
① 두통
아침에 심하거나 기침, 재채기 시 악화되는 특징이 있습니다.
② 구토와 메스꺼움
뇌압 상승으로 인해 나타날 수 있으며, 흔히 아침에 증상이 두드러집니다.
③ 시각 이상
시야가 흐리거나 이중으로 보이는 증상이 나타날 수 있습니다.



④ 경련(발작)
성인에서 원인 불명의 첫 발작은 뇌종양 가능성을 의심해야 합니다.
⑤ 언어 장애 및 인지 기능 저하
특정 뇌 영역에 종양이 있을 경우 언어능력, 기억력, 집중력 등에 영향을 줍니다.
⑥ 편마비 또는 감각 이상
운동신경을 담당하는 부위에 영향을 주면 신체 한쪽의 움직임이 저하됩니다.
5. 뇌종양 진단 방법
정확한 진단은 다음과 같은 검사들을 통해 이루어집니다.
① 신경학적 검사
시력, 청력, 균형 감각, 근력 등을 종합적으로 확인합니다.
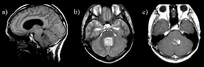
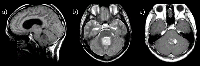
② 영상 검사
- MRI(자기공명영상): 가장 정확하게 뇌 구조와 종양을 확인할 수 있습니다.
- CT(전산화 단층촬영): 급성 상황이나 출혈 여부를 확인하는 데 유용합니다.



③ 뇌척수액 검사
뇌수막종이나 림프종이 의심될 때 시행하며, 세포 검사와 바이러스 여부를 확인합니다.
④ 조직 생검
수술이나 바늘을 이용해 조직을 채취한 뒤 병리학적으로 분석하여 확진합니다.
6. 뇌종양 치료 방법
치료는 종양의 종류, 위치, 크기, 환자의 건강 상태에 따라 다르게 결정됩니다.
① 수술
가능한 경우 최대한 종양을 제거하는 것이 기본입니다. 일부는 완전 절제가 어려워 부분 절제 후 방사선이나 항암 치료를 병행하기도 합니다.
② 방사선 치료
고에너지 방사선을 이용해 종양 세포를 파괴하는 치료로, 수술 후 잔여 종양 제거나 진행 억제를 위해 사용됩니다.
③ 항암 화학요법
악성 뇌종양에 사용되며, 경구 또는 정맥 투여 방식으로 진행됩니다. 대표적 약물은 테모졸로마이드(Temozolomide)입니다.
④ 표적 치료 및 면역치료
일부 특정 유전자 돌연변이를 가진 뇌종양에는 표적치료가 가능하며, 면역세포를 자극하는 면역치료도 연구되고 있습니다.
7. 뇌종양 병기별 생존율
| WHO등급 | 특 징 | 예시 종양 | 평균 생존기간 | 5년 생존율 |
| Grade I | 양성, 성장 매우 느림 | 수막종(일부), 신경초종, 소아성상세포종 | 수술 후 수십 년 이상 | 90% 이상 |
| Grade II | 저등급, 성장 느리지만 악성화 가능성 있음 | 희소돌기세포종, 미만성 성상세포종 | 평균 5~10년 | 60~80% |
| Grade III | 중등도 악성, 성장 빠름 | 역형성 성상세포종(Anaplastic astrocytoma) | 평균 2~5년 | 30~50% |
| Grade IV | 고등급 악성, 매우 빠른 성장 | 교모세포종(Glioblastoma) | 평균 12~15개월 | 5~10% 미만 |
8. 뇌종양 환자의 생활 관리
치료 후 또는 치료 중에는 다음과 같은 생활 관리가 중요합니다.
① 정기 검진
재발 여부를 확인하기 위해 MRI 검사를 포함한 정기 검진이 필수입니다.
② 재활 치료
운동, 언어, 인지 기능에 영향을 받은 경우 전문적인 재활 치료가 도움이 됩니다.
③ 영양 관리
체력 유지와 면역력 강화를 위한 균형 잡힌 식사가 필요합니다.
④ 스트레스 관리
정신적 안정을 위한 심리 상담이나 명상, 요가 등이 도움이 될 수 있습니다.
⑤ 복약 순응도 유지
항경련제, 호르몬제, 항암제 등의 복용을 정확히 지키는 것이 치료 효과 유지에 중요합니다.
댓글