반응형
목차



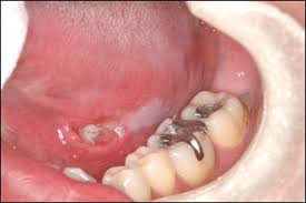
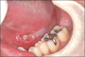
1. 구내염이란?
구내염은 입안의 점막에 염증이 생기는 질환으로, 혀, 입술, 잇몸, 뺨 안쪽 등 다양한 부위에서 발생할 수 있습니다. 통증, 궤양, 부종 등의 증상을 동반하며, 일상생활에 불편을 초래할 수 있습니다.
반응형
2. 구내염 원인
구내염은 여러 가지 원인에 의해 발생할 수 있습니다.
구강암 초기증상, 병기별 증상 및 생존율 (사진모음)
목차구강암이란?구강암의 원인구강암의 초기 증상구강암의 검사 및 진단 방법구강암의 치료 방법구강암 병기별 생존율구강암에 좋은 음식1. 구강암이란?구강암은 입안의 다양한 부위에서 발생
garage.nicoladavid.com
- 감염성 원인: 바이러스(예: 헤르페스), 세균, 곰팡이(예: 칸디다) 등의 감염
- 비감염성 원인: 영양소 결핍(비타민 B군, 철분 등), 스트레스, 피로, 호르몬 변화, 면역력 저하
- 물리적 자극: 치아나 의치에 의한 상처, 뜨거운 음식이나 음료에 의한 화상
- 약물 부작용: 항생제, 항암제 등의 약물 사용으로 인한 점막 손상
반응형
3. 구내염 초기 증상
구내염의 초기 증상은 다음과 같습니다.



- 통증: 입안의 작열감이나 따끔거림
- 궤양: 작은 흰색 또는 노란색의 궤양이 생기며, 주변이 붉게 변할 수 있습니다.
- 부종: 염증 부위의 부기
- 식욕 저하: 통증으로 인해 음식 섭취가 어려워질 수 있습니다.
반응형
4. 구내염 검사 및 진단 방법
구내염은 일반적으로 임상 증상을 통해 진단할 수 있습니다. 그러나 증상이 반복되거나 심한 경우, 다음과 같은 검사가 필요할 수 있습니다.



- 혈액 검사: 영양소 결핍 여부, 감염 여부 확인
- 세균 배양 검사: 감염성 원인 확인
- 조직 검사: 악성 질환과의 감별을 위해 필요할 수 있습니다.
반응형
5. 구내염 치료법
구내염의 치료는 원인에 따라 다르며, 일반적으로 다음과 같은 방법이 사용됩니다.
(1) 약물 치료
- 진통제: 통증 완화를 위해 사용
- 항생제 또는 항바이러스제: 감염성 원인일 경우 사용
- 스테로이드제: 염증 완화를 위해 사용



(2) 국소 치료
- 구강 세정제: 염증 부위의 청결 유지
- 연고 또는 겔 형태의 약물: 직접 적용하여 증상 완화
- 영양 보충: 비타민 B군, 철분 등의 보충을 통해 회복을 도울 수 있습니다.
반응형
6. 구내염에 좋은 음식
구내염의 회복을 돕기 위해 다음과 같은 음식을 섭취하는 것이 좋습니다.






- 비타민 B군이 풍부한 음식: 바나나, 시금치, 계란, 견과류 등
- 철분이 풍부한 음식: 붉은 고기, 간, 두부 등
- 부드러운 음식: 죽, 스프, 요거트 등
- 수분이 풍부한 음식: 수박, 오이 등
반면, 자극적인 음식(매운 음식, 뜨거운 음식, 산성 음식 등)은 피하는 것이 좋습니다.
반응형
7. 구내염 예방과 관리를 위한 생활습관
구내염을 예방하고 재발을 방지하기 위해 다음과 같은 생활습관을 유지하는 것이 중요합니다.
- 구강 위생 관리: 정기적인 양치질과 치실 사용으로 구강을 청결하게 유지합니다.
- 균형 잡힌 식사: 영양소가 풍부한 식단을 유지하여 면역력을 강화합니다.
- 충분한 휴식과 수면: 스트레스와 피로를 줄여 면역력을 유지합니다.
- 정기적인 치과 검진: 구강 건강을 체크하고 문제를 조기에 발견합니다
반응형
댓글