목차
1. 구강암이란?
구강암은 입안의 다양한 부위에서 발생하는 악성 종양을 말합니다. 주로 편평세포암(squamous cell carcinoma) 형태로 나타나며, 혀, 입술, 잇몸, 구강저, 구개 등에서 발생할 수 있습니다.
2. 구강암 원인



구강암의 주요 원인은 다음과 같습니다.
- 흡연과 음주: 담배와 알코올은 구강 점막에 자극을 주어 암 발생 위험을 높입니다.
- 인유두종바이러스(HPV) 감염: 특히 HPV-16형은 구강암과 관련이 있습니다.
- 구강 위생 불량: 치주질환이나 만성적인 구강 염증은 암 발생 위험을 증가시킬 수 있습니다.
- 기타 요인: 과도한 햇빛 노출(입술암), 영양 결핍, 면역력 저하 등이 있습니다.
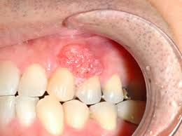
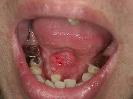
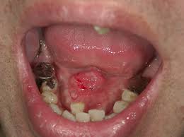
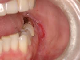
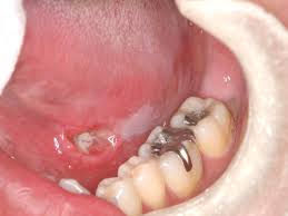
3. 구강암 초기 증상
구강암의 초기 증상은 다음과 같습니다.
- 입안의 궤양: 2주 이상 지속되는 통증 없는 궤양
- 이물감: 입안에 이물질이 있는 느낌



- 출혈: 이유 없는 출혈
- 감각 이상: 입안이나 혀의 감각 저하
- 구강 내 혹이나 덩어리: 만져지는 종괴
이러한 증상이 지속되면 전문의의 진료를 받는 것이 중요합니다.
4. 구강암 검사 및 진단 방법
구강암 진단을 위해 다음과 같은 검사가 시행됩니다.
- 시진 및 촉진: 입안의 병변을 눈으로 보고 손으로 만져봅니다.
- 조직 검사: 의심 부위의 조직을 채취하여 현미경으로 확인합니다.
- 영상 검사: CT, MRI, PET-CT 등을 통해 병변의 범위와 전이 여부를 평가합니다.
수술후 기력회복에 좋은 음식, 피해야할 음식과 주의사항까지
목차수술 후 회복기의 중요성단백질이 풍부한 음식비타민과 미네랄이 풍부한 음식항산화 식품의 역할소화에 부담 없는 음식수분 섭취의 중요성과 관련 식품피해야 할 음식과 주의사항1. 수술
garage.nicoladavid.com
5. 구강암 치료 방법
구강암의 치료는 병기와 환자의 상태에 따라 달라집니다.
- 수술: 암 조직을 제거하는 것이 기본 치료입니다.
- 방사선 치료: 수술 후 남은 암세포를 제거하거나 수술이 어려운 경우 시행합니다.



- 항암 화학요법: 전이된 경우나 방사선 치료와 병행하여 사용됩니다.
- 재건 수술: 수술로 인한 기능적, 미용적 결손을 복원합니다.
6. 구강암 병기별 증상 및 생존율
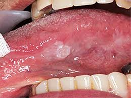
① 0기 (상피내암, Carcinoma in situ)
- 특징: 암세포가 점막의 가장 바깥층에만 존재하며, 주변 조직으로 침범하지 않은 상태입니다.
- 증상: 대부분 무증상이나, 입안에 붉거나 하얀 반점이 나타날 수 있습니다.



② 1기
- 특징: 종양의 크기가 2cm 이하이며, 림프절이나 다른 부위로 전이되지 않은 상태입니다.
- 증상: 작은 궤양이나 덩어리가 있을 수 있으나, 통증은 거의 없습니다.
- 5년 생존율: 약 85% 이상
③ 2기
- 특징: 종양의 크기가 2~4cm 사이이며, 여전히 림프절이나 다른 부위로의 전이는 없습니다.
- 증상: 입안의 통증, 이물감, 출혈 등이 나타날 수 있습니다.
- 5년 생존율: 약 70%



④ 3기
- 특징: 종양의 크기가 4cm 이상이거나, 인접한 림프절로의 전이가 있는 상태입니다.
- 증상: 통증이 심해지고, 삼킴 곤란, 턱이나 목의 부종 등이 나타날 수 있습니다.
- 5년 생존율: 약 55% 이상
피부암 증상사진, 피부암 점모양부터 치료법까지
목차피부암이란?피부암의 종류 및 점 모양피부암의 전단계피부암의 원인피부암의 초기 증상피부암의 검사 및 진단 방법피부암의 치료법피부암 예방과 관리를 위한 생활습관1. 피부암이란?피부
garage.nicoladavid.com
⑤ 4기
- 특징: 종양이 주변 조직이나 먼 부위로 전이된 상태입니다.
- 증상: 심한 통증, 말하기 및 삼키기 어려움, 체중 감소, 피로감 등이 나타납니다.
- 5년 생존율: 약 35%
7. 구강암에 좋은 음식
구강암 예방과 관리를 위해 다음과 같은 음식을 섭취하는 것이 도움이 됩니다:
- 과일과 채소: 비타민과 항산화제가 풍부하여 면역력 강화에 도움을 줍니다.
- 통곡물: 식이섬유가 풍부하여 전반적인 건강 유지에 기여합니다.
- 저지방 단백질: 닭고기, 생선, 두부 등은 회복에 필요한 단백질을 제공합니다.
- 수분 섭취: 충분한 물 섭취는 구강 점막을 촉촉하게 유지합니다.



반면, 자극적인 음식, 알코올, 담배 등은 피하는 것이 좋습니다.
구강암은 조기 발견과 적절한 치료로 관리할 수 있는 질환입니다. 정기적인 구강 검진과 건강한 생활 습관을 통해 예방에 힘쓰시기 바랍니다.
댓글